Equipment & Technology
primedentalimplantclinic clinic offers the very latest advantages in dental technology and equipment. primedentalimplantclinic doctors are continually trained in the use of our advanced technology and equipment, and in clinical best practices, to ensure that patients benefit from the advantages available today.

Disposable Gloves
Hands are properly washed, sanitized and dried before donning gloves .Firstly a pair of polythene glove is worn followed by a pair of latex gloves for every patient. Gloves are even changed if they appear to be contaminated during the treatment.

Rotary Tools
imports world-class rotary tools from Germany and Japan, which are used for drilling. They enable doctors to drill with greater precision, so the plaque and bacteria present at the site can be thoroughly removed. This allows filling

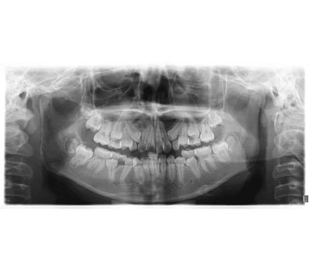
X-Rays
clinic use the latest x-ray technology to diagnose oral health problems in a painless, non-invasive way. Though exposure to radiation can pose health risks, uses sophisticated, portable x-rayuses sophisticated, portable x-ray

Water Filteration
primedentalimplantclinic clinic rely on reverse osmosis (RO) filtration systems to ensure the safest possible water supply.

Sterilization Auto
Autoclaves sterilize dental tools by subjecting them to high pressure, saturated steam. autoclave

Dental Consumables
Dental consumables are the medicines, materials and small pieces of equipment used in dental procedures.